Unsere Arbeiten
In unserer Bildergalerie zeigen wir Ihnen einige unserer vorher - nachher Fallbeispiele. Es werden stets aktuelle Fälle gezeigt und ergänzt. Die Behandlung kann einen entscheidenden Unterschied in Ihrer Lebensqualität machen.




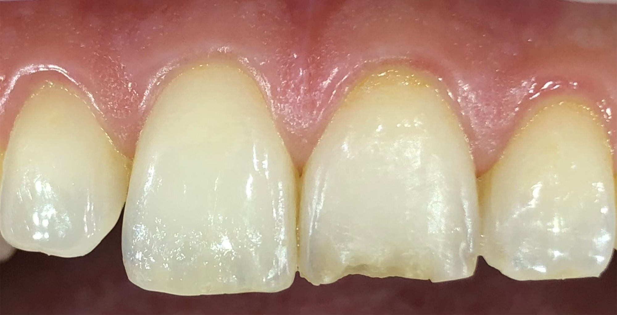
Frontzahntrauma / Kantenfraktur
Bricht die Kante eines Zahnes ab, handelt es sich um ein Frontzahntrauma / eine Kantenfraktur. Häufig passiert dieses bei Frontzähnen einerseits aufgrund des durch Abnutzung geschwächten Schmelzes und andererseits durch ein Trauma, also einen unfallbedingten Bruch des Zahnes.
Kantenfrakturen können sehr natürlich über eine spezielle Schichttechnik mit Kompositen oder mit laborgefertigten keramischen Veneers wiederhergestellt werden. Dabei ist zu beachten, wie die Patienten zusammenbeissen. Liegt ein Tiefbiss vor oder Parafunktionen, wie Knirschen oder Pressen, sollte bei der Rekonstruktion eine Überbelastung vermieden werden und häufig ist es sinnvoll, dass die betroffenen Patienten über Nacht eine Knirscherschiene tragen.




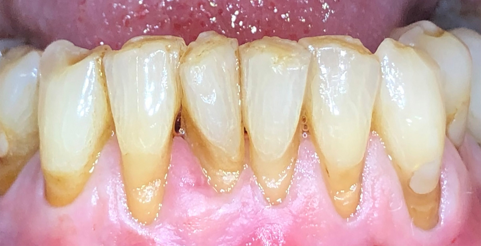
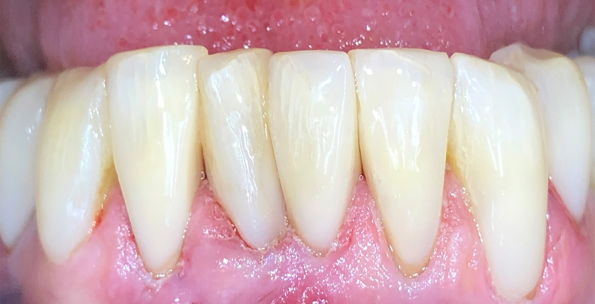
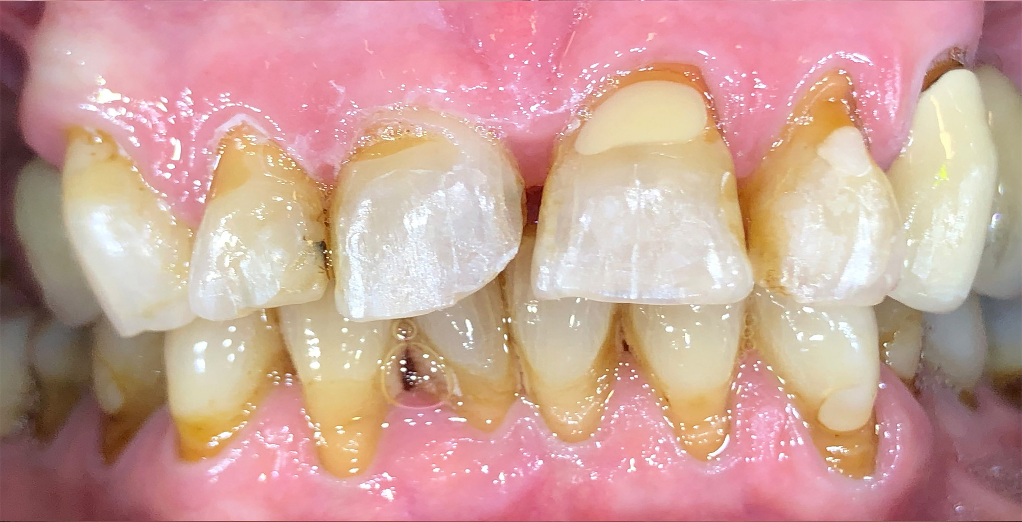
Zahnhalsdefekte (Keilförmige Defekte / Zahnhalskaries)
Freiliegende Zahnhälse sind ein häufiges Phänomen. Der Zahnfleischsaum kann sich aus verschiedenen Gründen zurückziehen und legt die Zahnhälse frei. Diese sind häufig empfindlich, da es sich hier um das Dentin des Zahnes handelt, welches mit Nervenenden versehen ist und somit Empfindlichkeit auf Luft oder kalte Getränke / Speisen die Folge ist. Diese keilförmigen Defekte (Einkerbungen) der freiliegenden Zahnhälse kommen einerseits durch die Zahnputztechnik, andererseits brechen nach neuesten Erkenntnissen die Zahnhalsstücke aufgrund von Parafunktionen, wie Knirschen oder Pressen der Zähne, komplett heraus.
Tiefe Zahnhalsdefekte sollten unbedingt aufgefüllt werden. Zum Einen, weil die Kerben eine Nische für Plaque und Belag bilden und zum Anderen, weil sie häufig auch kariös sind, wenn auch erst auf den zweiten Blick. Das zu lange `Abwarten / Beobachten` bewirkt keine Verbesserung, sondern das Gegenteil. Bei einigen Patienten sind die Zahnhalsdefekte so tief, dass der Nerv durch das abgetragene Dentin durchschimmert. Sobald die Zahnhälse mit einem Komposit rekonstruiert sind, sind sie vor weiterem Schaden geschützt, weniger schmerzempfindlich und leichter sauberzuhalten.




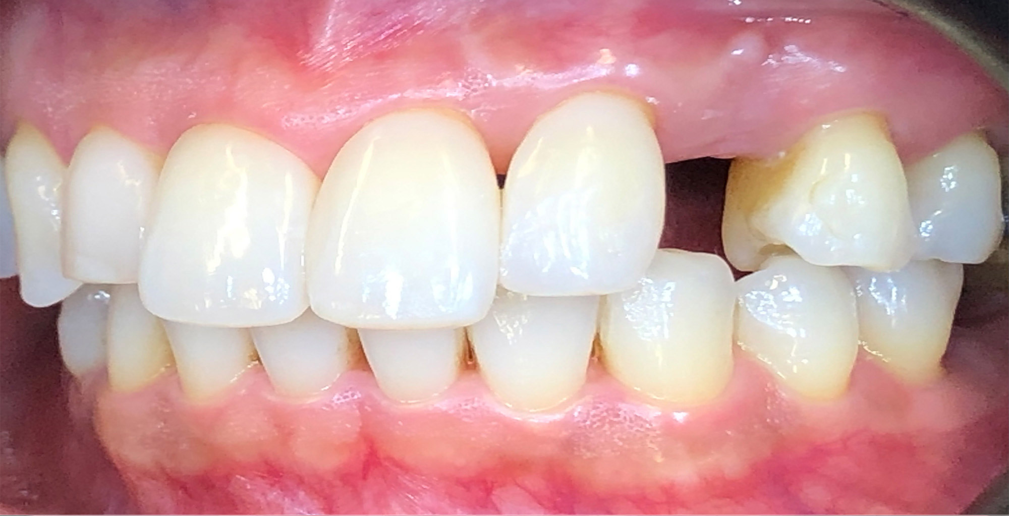
Parodontal bedingte Lücken
Die Parodontose ist eine chronische Erkrankung des Zahnhalteapparates und führt zum stetigen Rückgang des Zahnfleischsaumes und im weiteren Krankheitsverlauf zum Knochenabbau rund um die Zähne. Dieses Krankheitsbild birgt nicht nur die Herausforderung, die chronische Entzündung unter Kontrolle zu bringen, sondern leider auch ästhetische Einbussen für die betroffenen Patientinnen und Patienten. Unsere Patientin hatte die Parodontose - Behandlung erfolgreich hinter sich gebracht und stellte sich mit entzündungsfreiem Zahnfleisch und sehr guter Mundhygiene mit dem Anliegen vor, eine ästhetische Verbesserung zu erreichen.
Speziell die Beseitigung der `schwarzen Dreiecke`, also den dreiecksförmigen Lücken zwischen den Zähnen, welche durch den Knochenrückgang in Erscheinung treten, waren ihr im Alltag sehr unangenehm. Minimal - invasiv ist dieses mit direkten ästhetischen Kompositen gelungen, zumal es immer noch passieren kann, dass in Zukunft ein oder mehrere Zähne verloren gehen und in solchen Fällen von Keramikrestaurationen abgesehen werden sollte, da diese nicht modifizierbar sind. Die Patientin hatte durch die Erkrankung den linken oberen Eckzahn verloren und eine Ein- Zahn- Prothese tragen müssen. Ich habe einen Kompositzahn modelliert und ihn im Rahmen einer Glasfaser - verstärkten direkten Brücke eingesetzt. Die Patientin ist sehr zufrieden mit dieser Lösung.




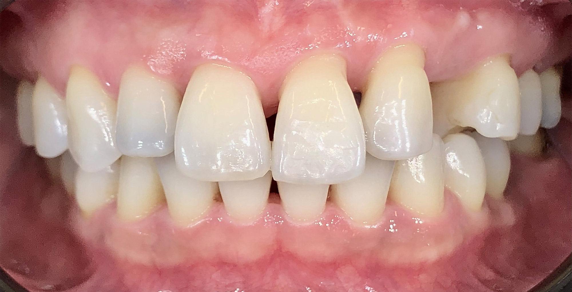
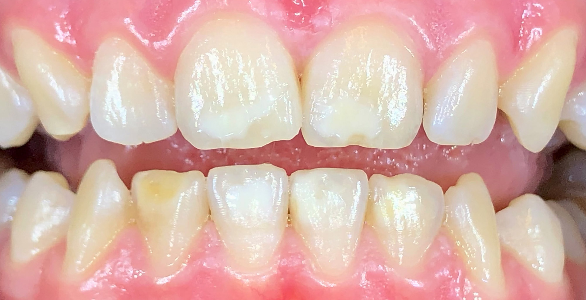
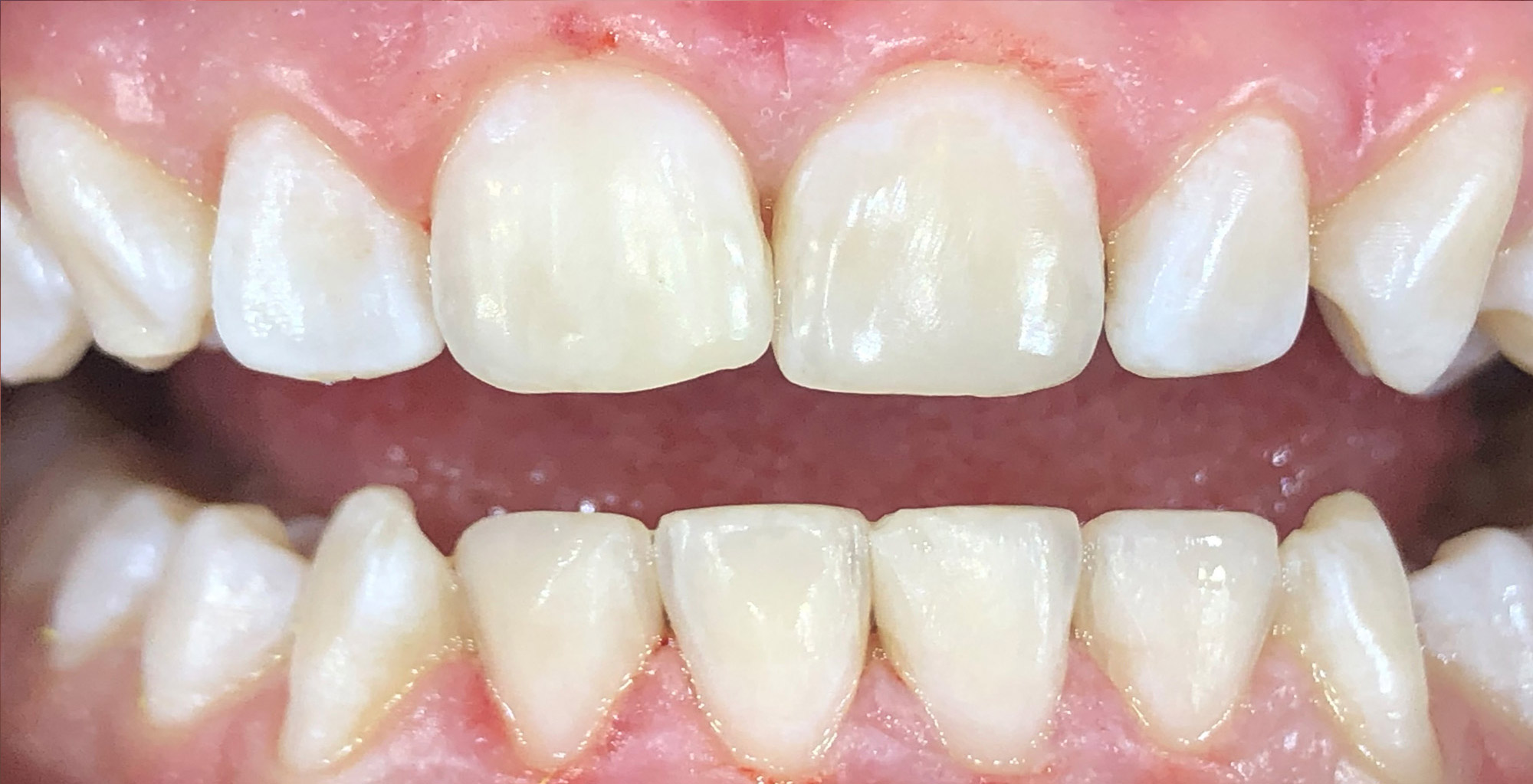
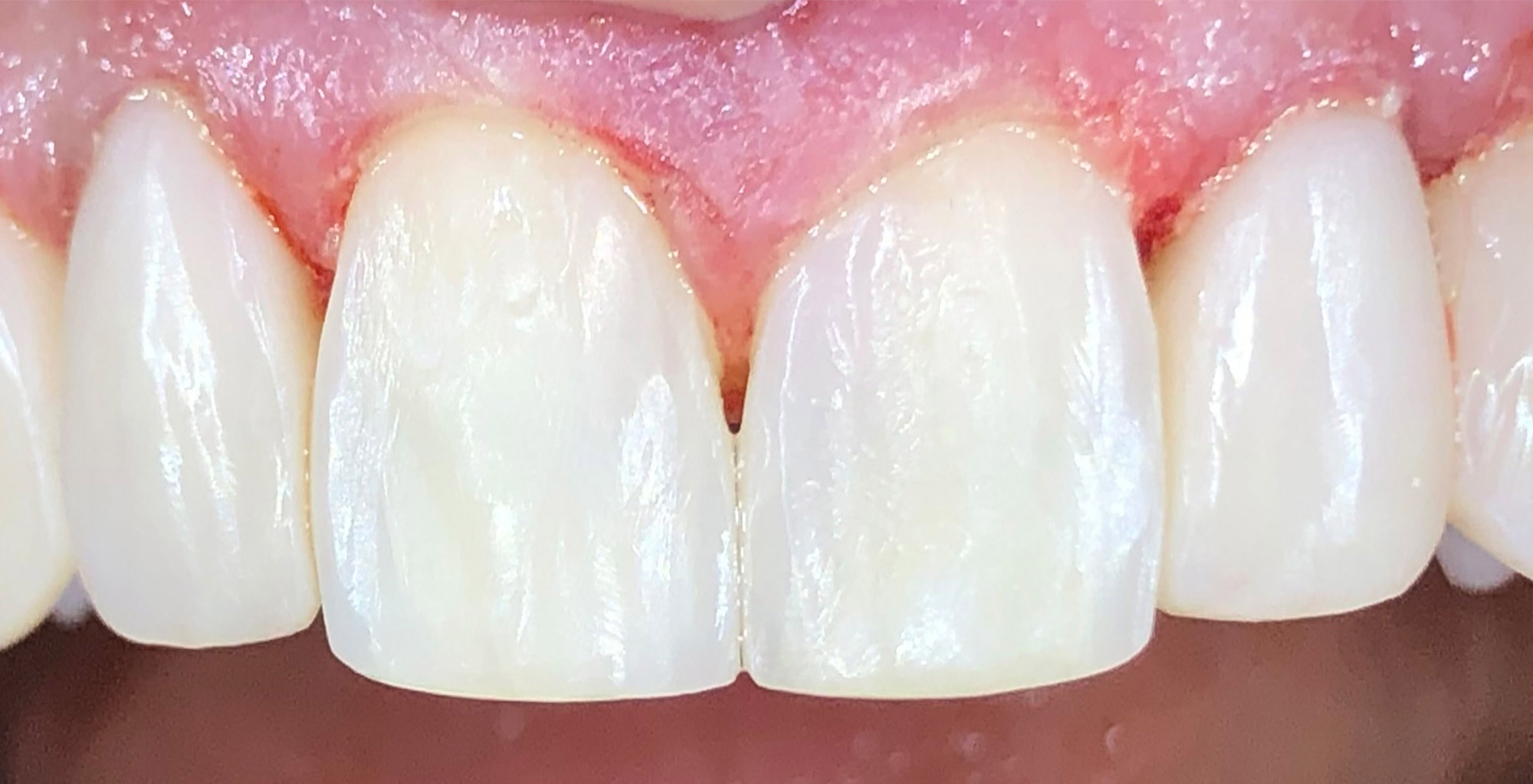
Zahnschmelzdefekte (Hypoplasien)
Es gibt verschiedene Schmelzdefekte (Hypoplasien), welche entweder genetisch bedingt sind, wie hier im 1. Fallbeispiel einer milden Amelogenesis imperfecta bei einer jungen Patientin, oder die idiopathisch bedingt sind, wie im zweiten Fallbeispiel bei der MIH (Molaren - Inzisiven - Hypomineralisation). Die Schmelz - Hypoplasien beinhalten einen unterentwickelten Schmelz und dadurch ein bröckeliges, fleckiges, kreidiges oder in der anatomischen Form der Zähne insuffizientes Aussehen. Durch den minimal - invasiven Einsatz unserer ästhetischen Füllungsmaterialien konnten in beiden Fällen die Zähne sowohl funktionell, als auch ästhetisch stabilisiert werden.
Die weisslichen Flecken auf allen Zähnen beim Nachher - Foto sind reversibel behandlungsbedingt, da die Zähne während der Behandlung trocken liegen müssen. Sie sind nicht mehr zu sehen, sobald die Zähne wieder bei geschlossenem Mund vom Speichel umspült werden.


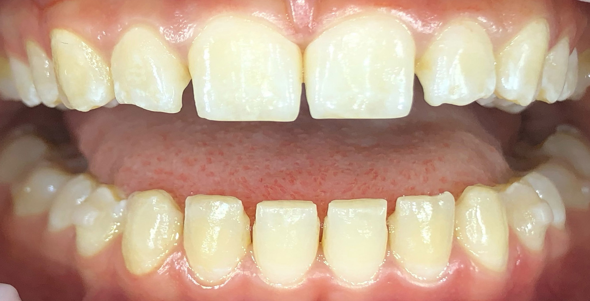
Verbreiterung / Formkorrektur
Verbreiterung der unteren Frontzähne mit direkten Kompositen.
Die Behandlung erfolgte nach abgeschlossener Zahnstellungskorrektur mit durchsichtigen Schienen (Alignern, hier `Invisalign`). Die Patientin hat einen fehlenden unteren Schneidezahn, somit konnte durch die kieferorthopädische Behandlung und die ästhetischen Aufbauten ein schönes ästhetisches Ergebnis erzielt werden, so dass sich optisch eine lückenlose Zahnreihe zeigt.


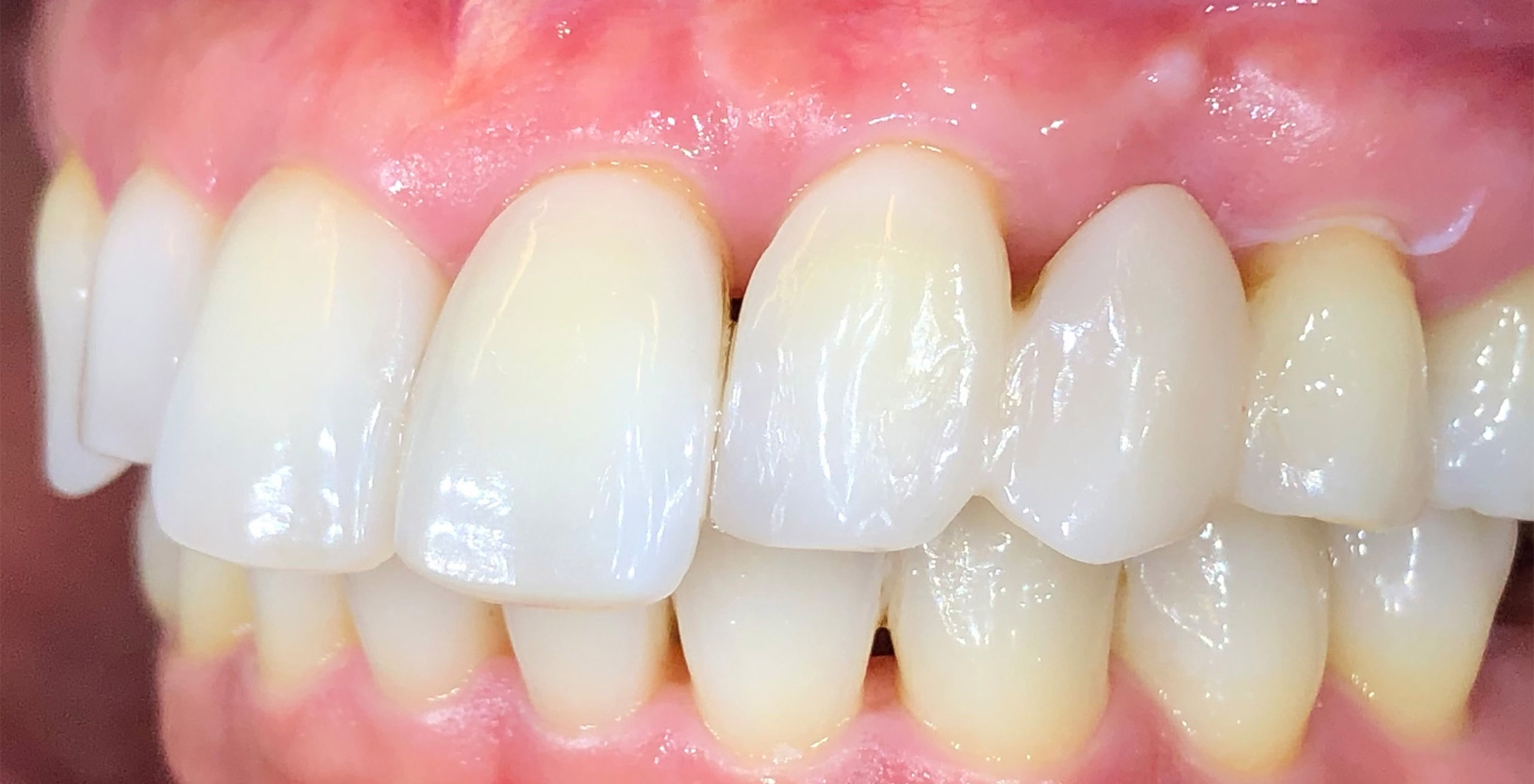
Ästhetischer Lückenschluss / Verbreiterung / Keramik-Veneers
Ästhetischer Lückenschluss / Verbreiterung der oberen 4 Frontzähne mit direkten Kompositen einschliesslich dem Ersatz alter Veneers an den verfärbten oberen seitlichen Schneidezähnen. Die Behandlung erfolgte nach abgeschlossener Zahnstellungskorrektur mit durchsichtigen Schienen (Alignern, hier "Invisalign").


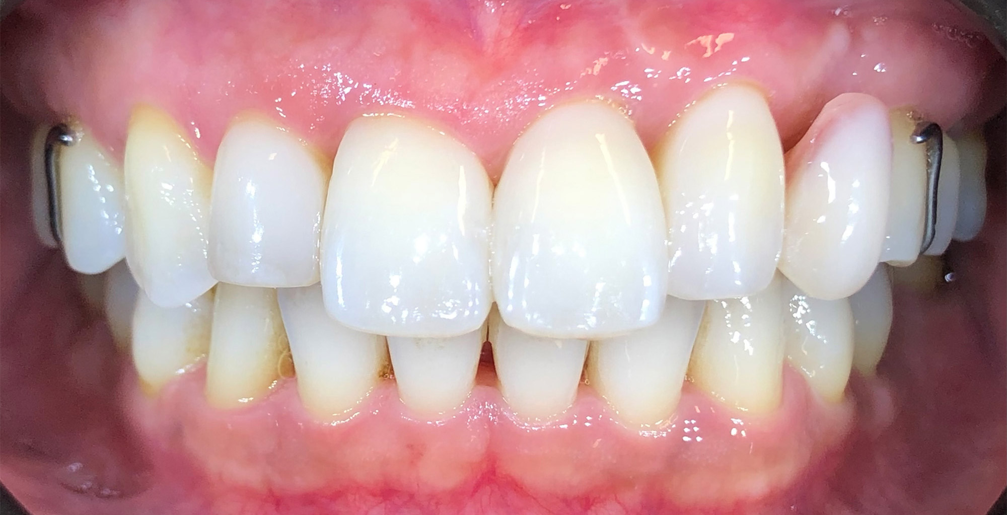
Ästhetische und funktionelle Rekonstruktion mit direkten Kompositen
Ästhetische und funktionelle Rekonstruktion der oberen und unteren Zahnreihe mit direkten Kompositen. Die Behandlung erfolgte nach abgeschlossener Zahnstellungskorrektur mit MBA (Multiband - Bracket - Apparatur). Die Patientin wollte die teure Überkronung von so vielen Zähnen nach der Zahnspangenbahndlung umgehen und so konnten wir ihr zu einem schönen Lächeln und gesunden Zähnen auf minimal - invasive Art verhelfen. Es konnten auch die freiliegenden Zahnhälse an der oberen Brücke mit dem Füllungsmaterial kaschiert werden. Die Patientin ist sehr glücklich mit dem schönen Ergebnis!
